🔲ハナラボ公式LINE「ハナラボ情報局」よりお申込みいただけます(こちらからは視聴申し込みはできません)
🔲「噛む噛む研究所」以降のハナラボ講座は患者様対象の講座です。
ご視聴にはお母様の診察券番号が必要となりますので、ご注意ください(受診前のかたは、診察のご予約日をお知らせください)

【講座紹介】

🔲「噛む噛む研究所」以降のハナラボ講座は患者様対象の講座です。
ご視聴にはお母様の診察券番号が必要となりますので、ご注意ください(受診前のかたは、診察のご予約日をお知らせください)
【講座紹介】
歯並びの異常の原因は、おくちの力、「舌の力」にあり!
現代日本で、何らかの歯並びに異常がある子は4割にものぼります。
今や、おくちは育てなければいけない時代。
そして、おくち育てのスタートは、「舌」からはじまります
舌の力を正しく育てられないまま成長していくと、歯並びだけではなく、呼吸・飲みこみ・接触・発声・顔貌・姿勢など、さまざまな影響がでてきてしまうのです
↑口輪筋が発達せず口がとじない「おくちポカン」
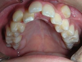
↑咀嚼不足で顎が育たず永久歯が生えるスペースがない
舌の力はいつ、どうやって育てていくものなのか?
守らなくてはいけないきまり、やってはいけないことはあるの?
「低位舌」「口呼吸」「悪い癖」
前講座「後悔ママにならない!赤ちゃんからのおくち育て」で紹介されていた歯並びを悪くするおくちの異常3つ
「低位舌」
「口呼吸」
「悪い癖」
どんな状態なのか?
なぜなってしまうのか?
予防策は?
おくち育てのエキスパート「口育士」が、徹底解説いたします
最悪の悪癖「口呼吸」
3さいまでに身に着けたい!食習慣
産まれてから3歳までが、その子にとっての「食習慣」の定着時期です。
おくち育ての面でも、毎日の食事・おやつの場で、しっかりトレーニングをおこなっていくことが大切になってきます。
食の誘惑の多い時代の中、ぜひ3歳になるまでに、一生もののおくちの力・正しい食習慣を身に着けさせてあげましょう。
講演者紹介
口育士・軸育士 野々部佳織
おくち育てのコツを聞かれて一つ答えるとしたら「宿題にしないこと!」に尽きます。
宿題なんて、大人でも大嫌い!進んでやりたい人なんていませんね。
「宿題」にしたくない…だから、できるだけお子さんが小さい内に「習慣」にしていきましょう。
歯医者さんの姿勢教室「ころころラボ」では「おくち育て習慣」をおやこで身に着けるための、ポイントや守ってほしいルール・覚える順番を、日々お伝えしています。
おくち育ては、からだ育てであり、心育て。
自分の体を大切にできる子は、自分の命と、自分を大切にしてくれるお母様お父様への感謝の気持ちを育むことができます。
おくち育てのスタート地点はさまざまです。
出遅れることだってあります。
でも、可愛いお子さんとの思い出を「あの時もっとこうしてれば…」なんて悩んでいても、つまんないですよね!
「じゃあ、今日から早速なにをしようか?」に切り替えて、おくち育て習慣づくりをスタートさせてください。
【そのほか習慣化・食行動・しつけ・食のお悩み等ご相談ください】
■児童発達支援士
■調理師・食育インストラクター
オンデマンド配信セミナーご視聴に関しての注意事項
■本講座は「後悔ママにならない!赤ちゃんからのおくち育て」を受講された後にご視聴いただける、管理栄養士・口育士共同監修による食でのおくち育て講座の録画配信版です■ご視聴にあたっては、ご本人の若林歯科の診察券番号および、若林歯科初診ご予約日の入力が必要です
■確定いたしますと、視聴用URLとパスコードがメールにて送信されます
お申し込みより3日以内に視聴用URLが届かない場合、メールエラーが考えられますので、お手数ですが、ハナラボ講座問い合わせフォームhttps://select-type.com/e/?id=RuPaa59Lq8Eにてお問い合わせください
■パスワードの共有、録画録音、撮影、画像や動画URLの無断共有は固く禁止させていただきます
使用している写真や資料など一部に、患者様の個人情報、授乳中の写真などが含まれます。
上記の行為が確認された場合には、ハナラボ講座へのご参加をお断りいたします