診療内容

循環器の専門診療

とっても多い、犬ちゃん猫ちゃんの心臓病。
咳、呼吸困難、動きたがらないなど、生活の質を落としてしまう症状が出る事もしばしばです。
そこで立川プラスワン動物病院循環器科では心臓の専門的な検査を行い、正しく状態を把握します。

そして無理のない治療により、 
        ①快適な生活
 ②長生き

上手く心臓病と付き合い、健康で長生きが出来るようお手伝いをします。

 

心臓の詳細な検査



循環器科では下記の検査が受けられます

・一般身体検査
   血色が悪くないか、呼吸は落ち着いているか、などをチェックします。
   

・聴診器検査
   早期に心臓病の徴候を検出できます。

・X線検査
    心臓の大きさや形態を評価します。
    肺や気管支なども心臓病に関わるため、同時に評価します。


・血液検査
   心臓病に関連した異常、心臓への負荷の推測をします。
   腎臓の異常や貧血も心臓に負担をかけるので要注意です。


・心電図検査
   主に不整脈を検出します

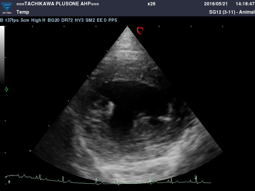
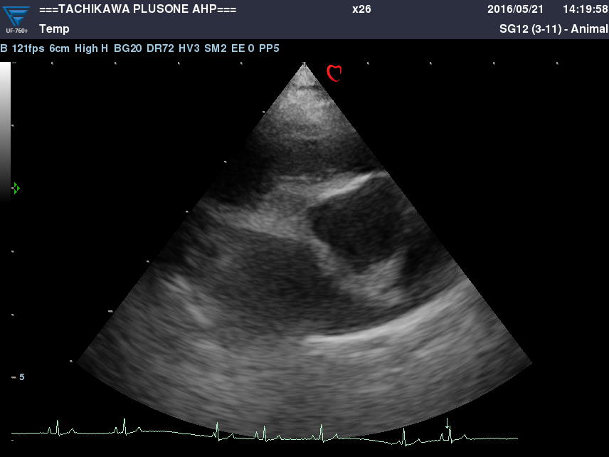
・心エコー検査(心超音波検査)
   心臓の状態を把握し治療方針を決定するのに欠かせない検査です。
    心臓の細部構造や動きの観察をします。
    また、血液の流れる向きやスピードの計測が出来ます。
   
  

どの検査も麻酔をかけず、どうぶつへの負担を最小限で行う事が出来ます。
これらの検査で心臓病の確定的な診断、程度の評価が可能です。

 

循環器専門診療の予約


循環器専門診療を受けたい方はご予約が可能です。
超音波検査などである程度時間がかかるため、時間外診療をおすすめしております。
お電話または本ページ下部の予約フォームをご利用ください。
検査終了後には、検査結果を基に今後の見通しや方針を分かりやすくまとめた用紙をお渡ししています。




よくあるご相談、受診をおすすめしたい症状

・咳をする
・寝ている事が増えた
・散歩で長く歩かなくなった
・倒れてしまう事がある
・呼吸が辛そう
・全身麻酔や手術が必要だけど大丈夫か心配
・僧帽弁閉鎖不全症と言われた。今後どううなるんだろうか・・・
・心筋症と言われた
・フィラリアに感染している
・お腹が膨らんでいる
・心臓に雑音があると言われたがどうしたら良いか?
・心臓の詳しい検査をうけたい
・心臓病の診断名や病気の程度を知りたい
・心臓の治療をしているが、今の薬をずっとのんでいて大丈夫か?

特に詳細な心臓エコー検査を受けた事がない場合におススメです。
 

ご予約

地図・アクセス

〒1900003 東京都立川市栄町6-10-19 立川プラスワン動物病院

施設情報

店舗・企業名 立川プラスワン動物病院
住所 東京都立川市栄町6-10-19
電話番号 0425349387
ホームページ http://plus1ah.sakura.ne.jp/

お問合せ