お盆期間中(8月9日(金)~20日(火)休まず通常診療(祝日・夜間加算など一切ありません)です!☆HPお引越し致しました、お手数ですが下記です。
https://d35s7.hp.peraichi.com/dentaist_site_1p_p
土日祝日も夜9時まで診療しております【無料駐車場完備】
一般診療(虫歯、歯周病、入れ歯など)口腔外科、インプラント(1本税込み33万円。MAX価格330万円。
総入れ歯の方でもです)審美何でもご相談下さい。
インプラント30万~28本でも330万円(税込)
セラミック55,000円審美入れ歯183,000円~小児矯正各顎71,500円
地図・アクセス
お問合せ
インプラント30万~28本でも330万円(税込)
例えば、20本インプラント治療されて330万円の治療費が掛かった数年後、違う歯を抜かなければならなくなったとしても、追加の費用はかかりません。
インプラントは1本、全て(検査費、上部構造、難手術料など)込み30万円(税別)で、他に追加費用は一切かかりません。
また、万一に備え、当院では10年保証を行っております。(定期健診等のお願いがあります)
10年間のMax治療費を設定(税込み330万円)しており、安心して通って頂けます。
カウンセリングは無料ですので、どうぞお気軽にご連絡ください。
セラミック55,000円審美入れ歯183,000円~小児矯正各顎71,500円
バネのない軟かい入歯(入歯と分かりにくいです)バルプラスト17~20万円(税別)
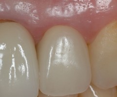
オールセラミック。5万円(税別)天然歯と変わらない見た目です。
地図・アクセス
〒0630061 北海道札幌市西区西町北20-3-10 宮の沢メディカルビル1階
電話番号011-671-3918 宮の沢駅前徒歩3分です!メディカルビルの1階ですので、駐車場も40台ほど停められる広いスペースがあります。
お問合せ
×
×
無料で作れるホームページ・
予約システム・メールフォーム
このページはSelectTypeを使って作成されました。
あなたも無料で作成してみませんか?